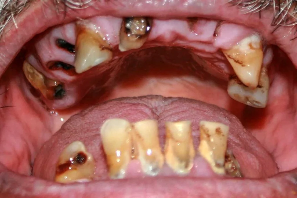
Teeth Health: दांतों की समस्या से लगभग हर आयु वर्ग के लोग जूझते हुए मिल जाएंगे। मुंह से गंदी बदबू आना सबसे आम बीमारी है। दांतों की सबसे गंभीर बीमारी पायरिया और कैविटी है। जिसकी वजह से मसूड़ों में खून आने से लेकर कीड़ा लगना और तेज दर्द जैसी समस्याएं शामिल है। इससे बचने के लिए कई सारे लोग महंगी दवाओं का सेवन भी करते हैं। लेकिन उसके बाद भी उन्हें राहत नहीं मिलती है। ऐसे ही लोगों के लिए डॉक्टर सलीम जैदी एक देसी इलाज बता रहे हैं। जिससे दांतों की पुरानी गंभीर समस्याओं से भी राहत पायी जा सकती है। इसके लिए वो एक देसी चूर्ण लेने की सलाह दे रहे हैं।
Teeth Health: दांतों की बीमारी के लिए वरदान है त्रिफला चूर्ण
डॉक्टर सलीम जैदी का कहना है कि, दांतों से खून आना , दर्द और कैविटी से बचने के लिए त्रिफला के चूर्ण का यूज कर सकते हैं। त्रिफला चूर्ण आंवला, हरड़ , और बहेड़ा के मिकस्चर से मिलाकर इसे तैयार किया जाता है।
देखें वीडियो
ये बॉडी को डिटॉक्स करता है। वहीं, कब्ज से लेकर आंखों और दांतो के लिए बहुत अच्छा होता है। त्रिफला चूर्ण में एंटी बैक्टीरियल और एंटीऑक्सीडेंट होते हैं। जिसकी वजह से ये दांतों में होने वाली बीमारियों पर एक वरदान की तरह काम करते हैं। मसूड़ों से खून निकला हो या फिर सूजन हो ये सभी दातों की समस्याओं में काम करता है। इसके साथ ही जमी हुई कैविटी को भी ये ठीक कर देता है।
त्रिफला चूर्ण का कैसे करें इस्तेमाल?
डॉक्टर के द्वारा बताया जा रहा है कि, इस चूर्ण का उपयोग कैसे कर सकते हैं। इसके लिए आधा चम्मच त्रिफला चूर्ण लेना है। इसके बाद इसे 200 मिली लीटर पानी में खौलने तक गर्म करें। इसके बाद हल्का ठंडा होने पर इस पानी से कुल्ला करें। ये कुल्ला एक बार 40 सेकंड तक का होना चाहिए। इस तरह दिन में दो बार करें। हर बार एक गिलास पानी का यूज करें। अगर आप रोजाना त्रिफला चूर्ण का सेवन करते हैं तो बिना दवा के ही दांतों की बीमारी और मुंह से आने वाली बदबू से राहत मिल जाएगी। अधिक हेल्थ समस्या होने पर अच्छे स्वास्थ्य विशेषज्ञ से संपर्क करें।
Disclaimer: यह लेख और इसमें दी गई चिकित्सीय परामर्श केवल सामान्य जानकारी प्रदान करती है। यह किसी भी तरह से किसी योग्य चिकित्सा राय का विकल्प नहीं है। इस लेख में बताए गए तरीकों और दावों को केवल सुझाव माना जाना चाहिए; डीएनपी इंडिया हिंदी न तो इनकी पुष्टि करता है और न ही खंडन करता है। ऐसे किसी भी सुझाव/उपचार/दवा/आहार का पालन करने से पहले हमेशा डॉक्टर से सलाह लें।






